|
[The original EDECMO 41 post had to be taken down…for reasons beyond our control! But here is the new and improved Episode 41]
In this episode Zack and Joe discuss the 3-stages of Extracorporeal Membrane Oxygenation (ECMO) – or put another way, this is how to start Extracorporeal Cardiopulmonary Resuscitation (ECPR) in the Emergency Department (ED). It's been 4 years since we talked about these basic premises of ECPR. But this time, its highlighted in a very special story.
The Three Stages of ECPR:
- Placement of any commercially available catheters into the femoral artery and femoral vein.
- Ultrasound-guided percutaneous access is our preference, but cutdown is also considered. This is done in every patient, every time, and is done in parallel to ongoing ACLS. Transduce the arterial line to guide resuscitation and use the venous line for resuscitation purposes.
- Transition to ECMO cannulas
- Using guidewires (we prefer the Amplatz Super Stiff 145 cm .038″ teflon coated floppy tip wires), remove the catheters placed in Stage 1, perform serial dilation, and place ECMO cannulas
- Initiate the ECMO pump
- Perform ‘underwater seal' using crystalloid, which closes the circuit. The circuit is de-aired and the pump is started. Increase the RPM to 1500 and remove the clamps. Inspect the circuit and troubleshoot any issues.
3 stages. 3 steps.
You can find a whole lot more on our ECPR 3 stages page.
EVEN BETTER! If you are interested in learning all about ED ECMO, with hands-on simulators, Wold-renowned ECMO educators, REBOA, ECPR, computer simulation, check out the REANIMATE conference site or go directly to the REANIMATE registration page!!
Diane's Story:
November 30, 2017: Diane suffered ventricular fibrillation (VF) cardiac arrest and collapsed…just outside the ED doors. CPR was started immediately by an ED nurse. After 32 minutes of failed Advanced Cardiac Life Support (ACLS), with human and mechanical chest compressions, she remained in refractory VF.
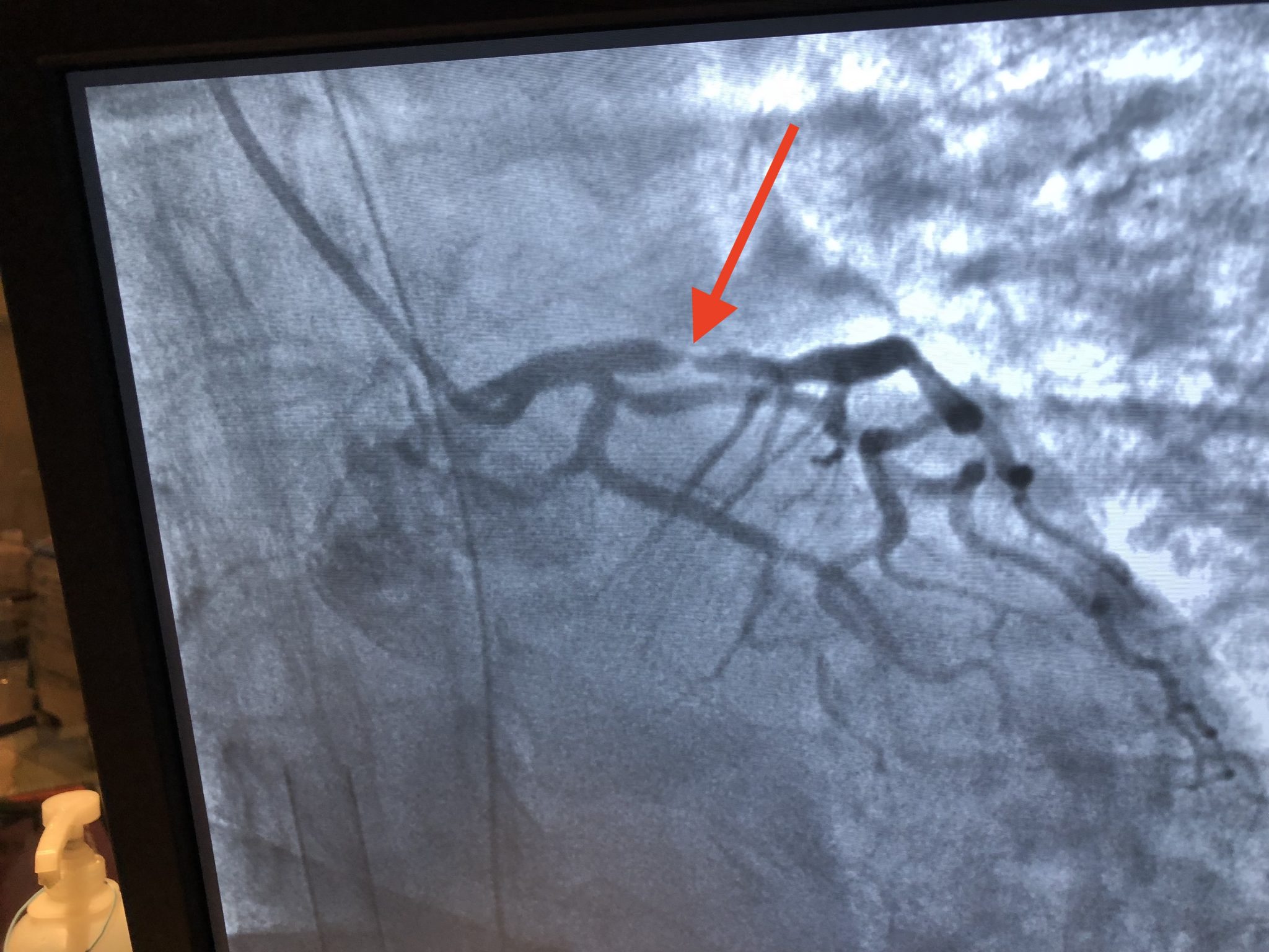
Our Emergency Physician-initiated ECMO (ED-ECMO) protocol was initiated using the ‘3 stages of ECMO.' Diane was ‘on pump' in 32 minutes, taken to the cath lab, and had her 95% LAD lesion stented by Interventional Cardiologist Arvin Narula.
Diane went home with her family and friends on December 13, 2017. Listen to the episode to hear the details…
 Diane's Widowmaker
 Dr. Narula, Interventional Cardiology

 Joe and Diane
 Diane with Casey Gwynn and sister Joanne
 Dr. Eads and Diane
 Zack Shinar, Diane, and Jessica
 Bellezzo And Diane
The post EDECMO 41 – The 3 Stages of ECPR – Diane’s Story appeared first on ED ECMO. |